Welcome to
Icon Ortho
Dr. Andrew Sarpotdar and Dr. Jenny Sun have set the area standard for affordable, exceptional orthodontic treatment for patients of all ages since 2015.
You’ll enjoy our personal, caring approach paired with the latest orthodontic treatments, including Invisalign and clear braces.
Learn MoreBraces & Invisalign
Making Orthodontics Easy

Flexible
Financing
Icon makes paying for treatment easy. You can start treatment for as low as $99 down and $99 a month!*
*Some exclusions apply.
Learn More
Convenient Appointments
We are pleased to provide late weekday hours, texting service, and same-day braces to accommodate your busy lives.
Learn More
Orthodontics for All Ages
We’re your experts for fantastic treatment at any age—children, teens, and adults.
Learn More
Say “Hello” to Your Friendly Doctor
Andrew Sarpotdar, DDS
Dr. Andrew Sarpotdar (you can call him "Dr. Sarpo!") has always enjoyed working with children. He holds a Doctorate of Dental Surgery from UCLA's School of Dentistry.




Say “Hello” to Your Friendly Doctor
Jenny Sun, DDS
Dr. Sun strives to positively influence your life as she helps you improve your smile. She keeps this in mind as she goes above and beyond to guarantee your satisfaction.



Take a Look at Some of Our Amazing
Before & Afters
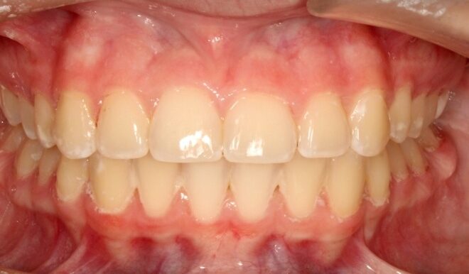
After
Before
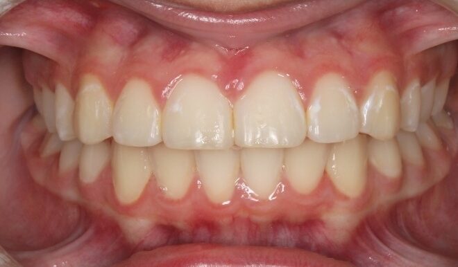
After
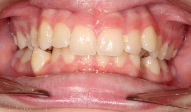
Before
After
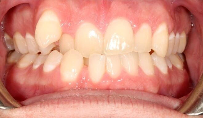
Before3 Easy Steps to Your
New Smile

01Free Exam
At your first free visit, you’ll meet our friendly team, tell us about your smile goals and let us take some digital photos for Dr. Sarpotdar and Dr. Sun.

02Choose a Payment Plan
Pick the financing plan that fits your family’s budget: we even have monthly payment options starting at $99/month!

03Begin Treatment
Dr. Sarpotdar and Dr. Sun will create a customized and personal treatment plan for you, and you will begin your braces or aligner orthodontic treatment.
We're Your
Top-Rated
Surprise &
Glendale
Orthodontic
Team
Our Happy Patients
Testimonials
Meet Ashley

Meet James

Meet Kelli

“I got my braces and the team was very kind and funny. Highly recommend coming to this location for any orthodontic needs.”
- Dylan T. -
“The entire team is extremely friendly, personable, and professional, and don't try to sell you things your children aren't ready for or don’t need.”
- Tracy M. -
“This place is awesome and so kind! They were so informative and helpful. I’d give it 10 stars if possible. So here is 5 more, ⭐️⭐️⭐️⭐️⭐️ A+ job guys!”
- Scott B. -
Braces + Clear Aligners
Choose Your Treatment

Clear Aligners
Straighten your teeth using this affordable, invisible, removable, and comfortable option.
Learn More
LightForce Clear Braces
Ceramic braces are made of clear materials and are less visible on your teeth than metal braces.
Learn More
Metal Braces
Our high-tech metal braces are even lighter and more comfortable than ever before.
Learn More

